Tại Bệnh viện Thanh Nhàn, các bác sĩ vừa xử trí thành công một trường hợp vỡ giả phình động mạch lách hiếm gặp ở bệnh nhân nam trẻ tuổi – đồng thời bảo tồn được lách, tránh những hệ lụy nặng nề về sau.
👨⚕️ Bệnh nhân là một nam giới trẻ, đồng nghiệp nghành y công tác tại một Trung tâm y tế, nhập viện sau khi đột ngột đau bụng dữ dội tại nhà. Khi được chuyển đến Bệnh viện Thanh Nhàn, bệnh nhân ở giờ thứ 19 của bệnh cảnh, trong tình trạng: Sốc mất máu toan chuyển hóa suy đa tạng, huyết áp chỉ còn 50/30 mmHg, da tái lạnh.
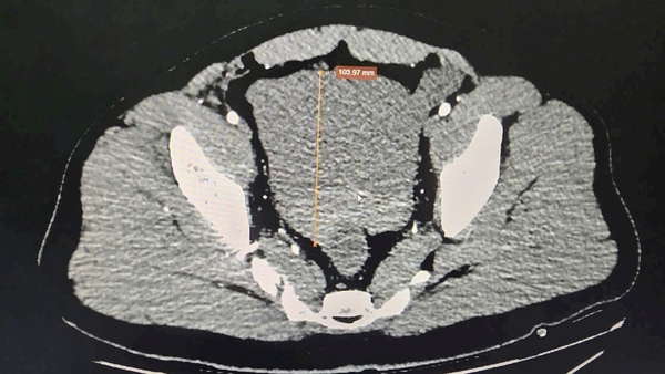
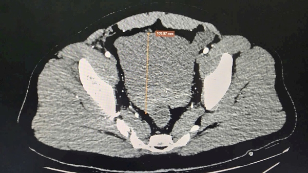
Sau khi hồi sức tích cực, bệnh nhân được chụp cắt lớp vi tính đa dãy (MSCT) ổ bụng và hình ảnh cho thấy: rất nhiều dịch máu trong ổ bụng, nguyên nhân do vỡ giả phình động mạch lách ngay vị trí rốn lách – thủ phạm gây xuất huyết ồ ạt.


⚡ Trước tình huống khẩn cấp, Khoa Hồi sức tích cực phối hợp đa chuyên khoa hội chẩn nhanh đánh giá nếu phẫu thuật cắt lách có thể cầm máu nhanh nhưng đồng nghĩa bệnh nhân mất hẳn lách, tiềm ẩn nguy cơ nhiễm trùng và hậu phẫu nặng nề.
 Bệnh nhân còn rất trẻ → các bác sĩ quyết định lựa chọn can thiệp nội mạch với mong muốn bảo tồn cơ quan cho bệnh nhân.


✨ Ekip can thiệp mạch do Ths.Bs Nguyễn Duy Thịnh – Trưởng Đơn nguyên Can thiệp mạch,  đã lựa chọn phương án can thiệp nội mạch:
-    Bệnh nhân được dẫn lưu dịch máu ổ bụng để giảm áp lực.
-    Sử dụng coil theo kỹ thuật “Sandwich” để nút tắc đoạn động mạch mang giả phình.
     Kết quả sau can thiệp: ổ giả phình được bít tắc hoàn toàn, nhu mô lách vẫn được nuôi dưỡng nhờ hệ bàng hệ. Sau 24 giờ, tình trạng bệnh nhân ổn định, không còn dấu hiệu mất máu, dẫn lưu ổ bụng ra khoảng 2 lít máu cũ.
 

🔎 Giả phình động mạch lách – nghe lạ nhưng cực kỳ nguy hiểm
Giả phình động mạch lách là túi phình hình thành khi máu thoát ra khỏi lòng động mạch qua điểm rách thành mạch, được bao quanh bởi mô xung quanh chứ không phải thành mạch thật, hiếm gặp, chỉ chiếm ~0,1% trong dân số và <10% trong tất cả phình động mạch ổ bụng.
Nguyên nhân thường gặp là do: viêm tụy (cấp hoặc mạn), chấn thương bụng, biến chứng sau phẫu thuật/thủ thuật. Trường hợp tự phát ở nam giới trẻ tuổi như ca bệnh này cực kỳ hiếm. Tỷ lệ vỡ cao (37-47%), khi vỡ có thể gây sốc mất máu và tử vong tới >90% nếu không được xử trí kịp thời. 
Phẫu thuật cắt lách từng là phương pháp kinh điển. Tuy nhiên, hiện nay can thiệp nội mạch (coil, keo sinh học, stent graft…) được xem là lựa chọn tối ưu vì ít xâm lấn và có thể bảo tồn lách.
💬 Ca bệnh này là minh chứng cho sự nhạy bén, quyết đoán, đổi mới tư duy trong lựa chọn phương pháp điều trị, sự phối hợp khẩn trương giữa các chuyên khoa và kỹ thuật can thiệp mạch tiên tiến tại Bệnh viện Thanh Nhàn – mang lại chất lượng sống tốt hơn cho người bệnh về lâu dài.
👉 Thông điệp gửi đến cộng đồng: Khi có dấu hiệu đau bụng dữ dội, kéo dài kèm choáng váng, mệt lả, cần đến ngay bệnh viện để được cấp cứu kịp thời.
👉 Mỗi quyết định chính xác, mỗi nỗ lực tận tâm đều mở ra cơ hội sống và hồi phục trọn vẹn cho người bệnh.
 
 
					
							


 
							















































